Após quase 40 anos trabalhando no rádio e alegrando as manhãs de milhares de ouvintes em Marília e região, o radialista Roberto Dias hoje vive um drama pessoal e que só veio a público nos últimos dias.
Ele está com uma lesão grave no olho esquerdo e agora terá que realizar uma cirurgia para retirá-lo.
O problema é que, se depender do SUS, terá uma longa fila de espera. Por isso, pede ajuda financeira para o procedimento de forma particular.
Nascido em Garça, Roberto Dias está com 52 anos. Desde 1985 atua no rádio pelo interior paulista, com passagens em Garça, Araraquara, Bariri, Ourinhos, Lins e já por diversos anos nos emissoras da rádio Itaipu de Marília (FM).
O que aconteceu?
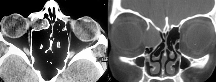
Tudo transcorria se forma tranquila. Mas, no final do ano passado (2021) após uma consulta oftalmológica, foi constatada uma "lesão" no olho direito (crescimento da pele ao lado do olho) após exame de ressonância, com a necessidade de fazer uma cirurgia para retirada desse "corpo estranho.
Ressonância indicando o agravamento do problema.
O procedimento foi realizado no Hospital São Francisco. Mas, pouco tempo depois, agora em abril, em um retorno médico, foi feita uma nova ressonância onde constatou-se que a doença estava de volta e desta vez mais agressiva, atingindo a parede nasal, a órbita e parte do globo ocular direito.
Ele desabafa: "mesmo com muita fé em Deus, o meu desespero, angustia e medo tem sido muito traumático.Têm horas que me sinto confiante e forte, mas algumas vezes desmorono e choro, pensando na minha família, futuro e tudo o que terei que enfrentar."
Campanha financeira
Roberto Dias com a família: luta para superar esse drama.
A cirurgia de está programada para acontecer no próximo dia 21 de maio na cidade de Barretos.
Depois, o radialista ainda terá que passar por acompanhamento de um cirurgião plástico por aproximadamente 20 dias, pois serão feitos enxertos de pele.
Em seguida, a colocação da prótese, além de 6 meses aproximadamente de sessões de radioterapia.
"Venho através dessa publicação pedir se possível a contribuição de cada um de vocês para que eu consiga fazer o pagamento desse procedimento cirúrgico e meu tratamento", fez um apelo por meio das redes sociais.
Vamos ajudar? Roberto Dias Pix (14) 99907-0387 Caixa Econômica Federal
Em uma das transmissões, Roberto Dias conta o seu drama:
Envie-nos sugestões de matérias: (14) 99688-7288







