Animais silvestres são atraídos por alimento irregular e também têm sido vítimas de maus-tratos.
A presença de quatis no Bosque Municipal “Rangel Pietraroia”, em Marília, tem chamado a atenção de frequentadores e moradores do entorno. Apesar da recorrência dos avistamentos, a Secretaria do Meio Ambiente e Serviços Públicos esclarece que os animais não são moradores fixos do local.
De acordo com a pasta, os quatis têm como habitat natural os vales da região, conhecidos como “itambés”, e se deslocam diariamente até o bosque em busca de alimento. O principal acesso ocorre por áreas próximas à rua Santa Helena, de onde atravessam vias urbanas, principalmente no período da manhã.
A presença constante está diretamente ligada à oferta de alimento fácil, especialmente por conta do descarte irregular de resíduos por visitantes. Após se alimentarem, os animais retornam ao habitat natural no fim da tarde e à noite.
Superpopulação é descartada
A Secretaria também esclarece que não há superpopulação de quatis no bosque. Segundo análise técnica, a sensação de excesso ocorre devido ao intenso deslocamento dos animais ao longo do dia, inclusive em travessias por vias movimentadas, o que aumenta a visibilidade.
As travessias são mais frequentes em horários de maior fluxo entre 7h e 8h30, das 12h às 13h e das 17h às 18h30, especialmente nas imediações da Avenida Brigadeiro Eduardo Gomes e da Rua Santa Helena.
Por serem animais silvestres, os quatis são protegidos por legislação federal. Após consulta ao órgão ambiental estadual, não foi autorizada qualquer intervenção, como captura ou remoção, já que não há área adequada para soltura.
Animais sofrem maus tratos
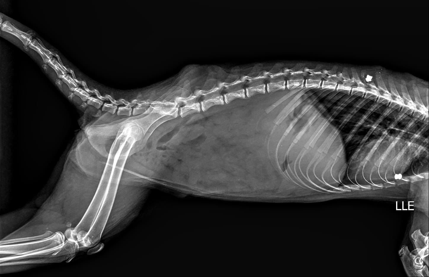
Além da preocupação ambiental, a Secretaria alerta para casos de maus-tratos registrados na região. Há relatos de quatis atingidos por disparos de espingarda de chumbo, incluindo uma fêmea com projéteis alojados no corpo, inclusive na região da coluna vertebral.
Um dos casos está sendo acompanhado pela médica veterinária do Bosque Municipal, Dra. Melissa Campitelli, que, após exame de raio-x, identificou dois chumbinhos alojados no corpo de um dos animais (foto).
A prática configura crime ambiental, e a Prefeitura informou que irá formalizar denúncia junto à Polícia Ambiental.
Diante do cenário, o poder público reforça a importância da colaboração da população: não alimentar os animais e evitar o descarte irregular de lixo são medidas essenciais para reduzir a presença dos quatis no ambiente urbano e garantir a preservação da fauna silvestre.
Envie-nos sugestões de matérias: (14) 99688-7288







