O consumo elevado de álcool pode encolher algumas regiões do cérebro.
Estudo realizado pelo neurocientista Peter Thanos, dos Estados Unidos, se apoiou em imagens de ressonância magnética de camundongos para melhor entender o papel da genética nos danos cerebrais provocados pelo consumo excessivo de álcool e apontar caminhos e estratégias mais eficazes de prevenção e tratamento do alcoolismo.
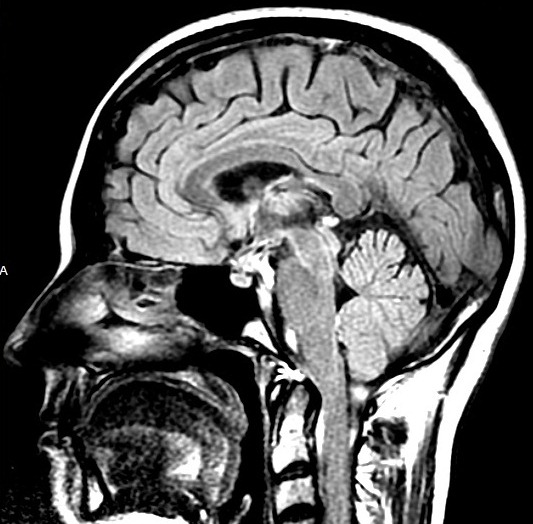
A ressonância magnética tem condições de diagnosticar vários tipos de lesões causadas pelo álcool no cérebro dos indivíduos, sendo algumas reversíveis e outras permanentes.
O consumo crônico de álcool resulta na redução e atrofia de partes específicas do cérebro que podem levar à alteração do equilíbrio e marcha, dificuldade de raciocínio, cálculo e memória, danos muitas vezes progressivos e irreversíveis, além de quadros graves que evoluem para coma e morte se não forem tratados com rapidez e eficiência.
As regiões do cérebro mais afetadas pelo consumo excessivo de álcool são responsáveis por alterações na memória e no comportamento, deficiência cognitiva, dificuldade para articular palavras e movimentos.
De acordo com a Organização Mundial da Saúde, o consumo anual per capita de álcool aumentou 43,5% no Brasil nos últimos dez anos, superando a média internacional – que é de 6,4 litros.
No grupo das pessoas entre 20 e 39 anos, 25% das mortes têm uma relação estreita com o álcool – que também é responsável, direta ou indiretamente, por mais de 200 tipos de doenças.
Envie-nos sugestões de matérias: (14) 99688-7288







